团队擅长的高安全性和高性能以及对大型系统的驾驭能力,正是数字货币交易系统所需要的。提供基于区块链技术的软件项目研发及应用。数字货币交易平台开发服务,限海外。
已于青岛2024年啤酒节首次使用。通过实时视频对人流进行识别、区域范围内排队人数进行识别,以及上下车人数进行识别,用于大调度和实时调度提供辅助决策支持。
利用AI视觉技术实现生产环境下疑似违规行为的识别告警,提供通用场景算法以及专用需求算法的智能分析。
已成功应用于公交集团,并成为省市级大数据应用典范,通过AI算法,结合调度、区间时段电价、以及电池性能生命周期,智能安排车辆充电时间、对应充电枪以及充电电量,在满足业务需求的同时,达到电费最省。
已应用于发票、票据、血压、水电燃气等仪表数据的数字、字母、中文、日文的OCR识别。
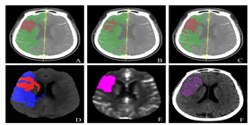
已应用于西医医疗设备医疗诊断和中医诊断,为诊疗提供辅助决策支持。